ترندهای زیبایی دندانپزشکی ۱۴۰۴: از ونیرهای نازک تا سفید کردن LED، لبخندت رو تحول بده!

لبخند زیبا، کلید اعتماد به نفس و اولین چیزی که دیگران میبینن! تو سال ۱۴۰۴ (۲۰۲۵)، ترندهای زیبایی دندانپزشکی با تمرکز روی طبیعی بودن، تکنولوژی و حداقل تهاجم، لبخندها رو به سطح جدیدی بردن – از ونیرهای نازک بدون تراش تا سفید کردن با LED بدون حساسیت. طبق گزارشهای FDA و کلینیکهای معتبر مثل Shining Smiles، بیش از ۷۰ درصد بیماران به دنبال درمانهای “undetectable” (نامحسوس) هستن که سلامت دهان رو هم حفظ کنه. در ایران هم، با رشد ۴۰ درصدی بازار (Statista)، برندهایی مثل Dio و Bio3 ایمپلنتهای پیشرفته رو عرضه کردن. در این مقاله، ۱۰ ترند برتر زیبایی دندانپزشکی ۱۴۰۴ رو بررسی میکنیم: از تعریف و مزایا تا مراحل، جدول مقایسه و نکات پیشگیری. اگر میخوای لبخندت رو بدون دردسر تحول بدی، تا انتها بمون و انتخاب هوشمندانه کن!

ترندهای زیبایی دندانپزشکی چیست و چرا ۱۴۰۴ سال تحولشه؟
ترندهای زیبایی دندانپزشکی، روشهای نوین برای بهبود ظاهر و عملکرد دندانها – از سفید کردن تا ترمیم – بدون از دست دادن طبیعی بودن. تو ۱۴۰۴، با پیشرفت AI، 3D پرینت و مواد بیولوژیک، درمانها سریعتر، ایمنتر و شخصیسازیشدهتر شدن. طبق Allure و Vogue، تمرکز روی holistic dentistry (سلامت کلی) و sustainable materials (مواد پایدار)ه – مثلاً ونیرهای ultra-thin که enamel رو حفظ میکنن. در ایران، تعرفههای ۱۴۰۴ (از وزارت بهداشت) هزینهها رو شفاف کرده و دسترسی رو افزایش داده. این ترندها نه تنها زیبایی، بلکه سلامت رو هم اولویت میدن – از پیشگیری پوسیدگی تا لبخندهای ضدپیری.
مزایا و معایب ترندهای زیبایی دندانپزشکی ۱۴۰۴
مزایا:
- طبیعی و نامحسوس: نتایج مثل دندانهای خودت، بدون “لبخند هالیوودی”.
- حداقل تهاجم: درمانهای بدون برش یا تراش، بهبودی سریع (۱-۳ روز).
- شخصیسازی با AI: DSD (Digital Smile Design) لبخند رو بر اساس چهره طراحی میکنه.
- اقتصادیتر: 3D پرینت هزینه رو ۲۰-۳۰ درصد کم میکنه.

معایب:
- هزینه اولیه بالا: ونیرهای نازک ۱۰-۲۰ میلیون، ایمپلنت ۱۵-۳۰ میلیون.
- نیاز به نگهداری: سفید کردن LED سالانه تکرار میشه.
- ریسک نادر: حساسیت به مواد بیولوژیک (کمتر از ۲ درصد).
- دسترسی محدود: در شهرهای کوچک، تکنولوژی پیشرفته کمتره.
۱۰ ترند برتر زیبایی دندانپزشکی ۱۴۰۴
بر اساس گزارشهای Shining Smiles، Kelley Mingus و FDA، اینجا ۱۰ ترند برتر:
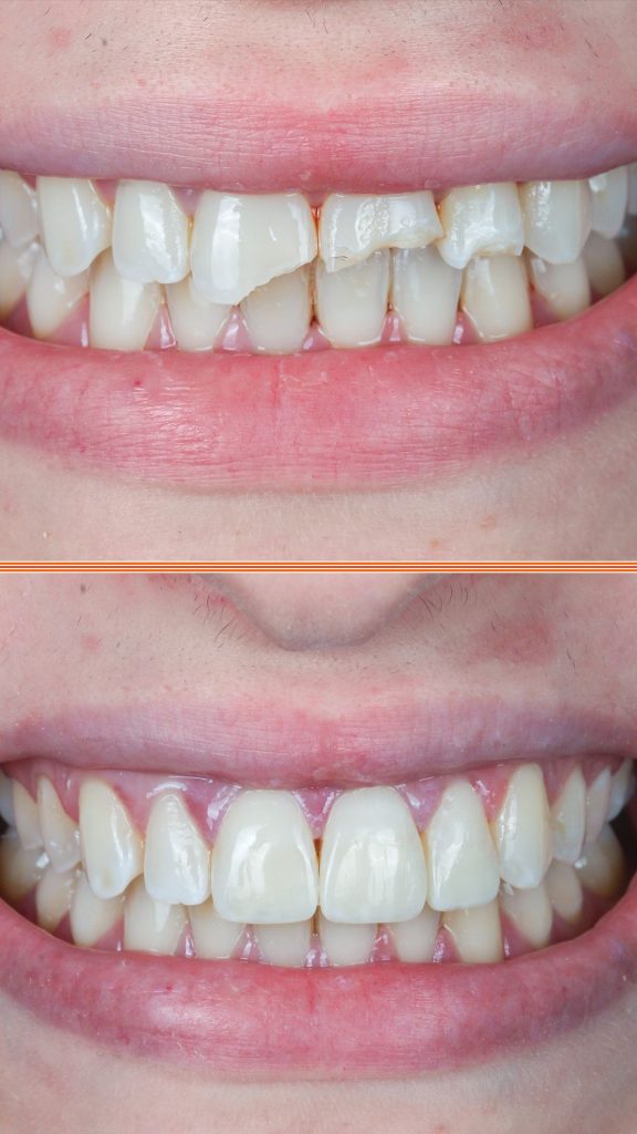
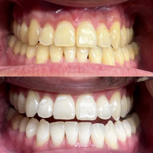
۱. ونیرهای نازک (Ultra-Thin Veneers): بدون تراش enamel، طبیعی و مقاوم. ۲. سفید کردن LED (LED Whitening): بدون حساسیت، ۱ جلسه ۸ درجه روشنتر. ۳. طراحی لبخند دیجیتال (Digital Smile Design – DSD): AI برای شبیهسازی ۳D. ۴. ایمپلنتهای مینی (Mini Implants): کوچک و کمتر تهاجمی برای استخوان ضعیف. ۵. الاینرهای شفاف (Clear Aligners): ارتودنسی نامرئی مثل Invisalign. ۶. باندینگ کامپوزیت (Composite Bonding): ترمیم ارزان و سریع. ۷. پرینت ۳D پروتز (3D Printed Prosthetics): سفارشی و سریع (۱ جلسه). ۸. مواد بیولوژیک (Biocompatible Materials): غیرسمی و پایدار. ۹. ارتودنسی بزرگسالان (Adult Orthodontics): الاینر برای ۳۰+. ۱۰. بهبود لثه و لب (Gum & Lip Contouring): لبخند متعادل.

مراحل اجرای ترندهای زیبایی دندانپزشکی (مثال ونیرهای نازک)
۱. مشاوره: عکس و اسکن ۳D (DSD)، انتخاب سایز. ۲. آمادهسازی: حداقل تراش (۰.۳ میلیمتر enamel). ۳. قرار دادن: ونیرهای سفارشی (۳D پرینت) چسبانده میشن. ۴. بهبودی: ۱-۲ روز، بدون درد. ۵. پیگیری: چک ۶ ماهه.
جدول مقایسه ۱۰ ترند زیبایی دندانپزشکی ۱۴۰۴
| رتبه | ترند | تهاجم | ماندگاری (سال) | هزینه تقریبی (میلیون تومان) | مناسب برای |
|---|---|---|---|---|---|
| ۱ | ونیرهای نازک | کم | ۱۰-۱۵ | ۱۰-۲۰ | لبخند نامرتب |
| ۲ | سفید کردن LED | بدون | ۱-۲ | ۲-۵ | دندان زرد |
| ۳ | DSD دیجیتال | بدون | – | ۱-۳ (مشاوره) | طراحی لبخند |
| ۴ | ایمپلنت مینی | متوسط | ۱۵+ | ۱۵-۲۵ | دندان از دسترفته |
| ۵ | الاینرهای شفاف | بدون | ۱-۲ | ۱۰-۱۵ | ارتودنسی |
| ۶ | باندینگ کامپوزیت | کم | ۵-۷ | ۳-۶ | ترمیم کوچک |
| ۷ | ۳D پرینت پروتز | کم | ۱۰+ | ۵-۱۰ | پروتز سفارشی |
| ۸ | مواد بیولوژیک | بدون | – | +۲۰% به درمان | حساسیتدار |
| ۹ | ارتودنسی بزرگسالان | کم | ۱-۲ | ۱۰-۲۰ | ۳۰+ |
| ۱۰ | کانتورینگ لثه/لب | متوسط | دائمی | ۵-۱۰ | لبخند نامتعادل |
نکات طلایی برای ترندهای زیبایی دندانپزشکی ۱۴۰۴
- مشاوره AI: از DSD برای پیشبینی استفاده کن – ۹۰ درصد رضایت.
- مواد بیولوژیک: برای حساسیت، غیرسمی انتخاب کن (FDA-approved).
- تعرفه ۱۴۰۴: ویزیت ۲۰۰-۵۰۰ هزار، ونیر هر دندان ۱-۲ میلیون.
- برای ایرانیها: ایمپلنت Dio کرهای (۲۲ میلیون) اقتصادی.
- پیشگیری: جرمگیری سالانه + سفید کردن LED.
- ریسک: عفونت ۱-۲ درصد، با جراح متخصص کم میشه.
- برندها: Dio، Bio3 برای ایمپلنت؛ Motiva برای پروتز.
نتیجهگیری: لبخند ۱۴۰۴، طبیعی و درخشان!
ترندهای زیبایی دندانپزشکی ۱۴۰۴ با ونیرهای نازک، LED whitening و DSD، لبخندت رو بدون تهاجم تحول میدن – سالم، طبیعی و شخصی. با تعرفههای بهروز و کلینیکهای معتبر، حالا بهترین زمانه!




